補牙與3D齒雕
蛀牙處理方式
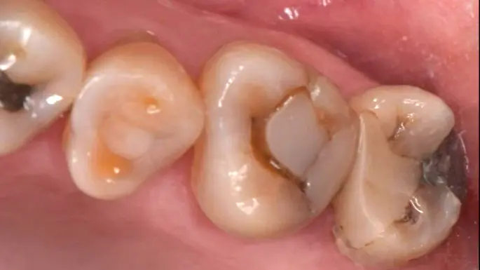
我的牙齒怎麼好像有個洞!?
臨床上常遇到牙齒結構有大範圍缺損,三大原因為:
- 蛀牙
- 咬崩、裂
- 蛀到神經需要根管治療
牙齒有大範圍缺損,主要有三種治療方式:
- 健保樹脂補牙
- 傳統假牙(牙套)
- 陶瓷嵌體(齒雕)
3D齒雕形式
齒雕是什麼?現代牙齒修復的最佳選擇!
利用強度與色澤皆和真牙相仿的陶瓷,如拼圖般補上牙齒的缺損,適用於大範圍的蛀牙,蛀牙面積若超過整個牙齒的三分之一,建議考慮3D齒雕填補。
3D齒雕種類:Inlay、Onlay、Crown
齒雕治療
我們先打開神經管腔,進行根管治療。根管清創、擴大、消毒後,用無菌材料封填根管。根管治療後,進行牙齒缺損的修復、修行,取摸做齒雕。
齒雕黏著當天,我們把牙齒表面噴砂乾淨,在牙齒及陶瓷表面進行酸蝕用化學處理使齒雕可以非常牢固的跟牙齒黏著在一起,合為一體。
假牙的製作流程
陶瓷嵌體VS傳統補牙VS全瓷冠
由李達維總院長領軍的幸福三三牙醫與江翠牙醫,結合多位專科醫師,組成經驗豐富、醫術精湛的醫療團隊。
我們秉持對病患的關懷與責任,提供從植牙、矯正到美學牙科的全方位服務,各專科醫師緊密合作,確保診療品質的一致性與完整性,讓您在舒適的環境中享受安心的看牙體驗。
【總院-新莊】幸福三三牙醫
【分院-板橋】江翠牙醫
資訊更新時間:2024年11月
